پایگاه خبری تحلیلی انتخاب (Entekhab.ir) : 
محققان کانادایی معتقدند حداقل پنج نفر بر اثر یک بیماری مرموز در این کشور، جان خود را از دست داده اند. در یک یادداشت فاش شده، مقامات بهداشتی از پزشکان خواسته اند که علائم این بیماری مغزی را تحت نظر داشته باشند.
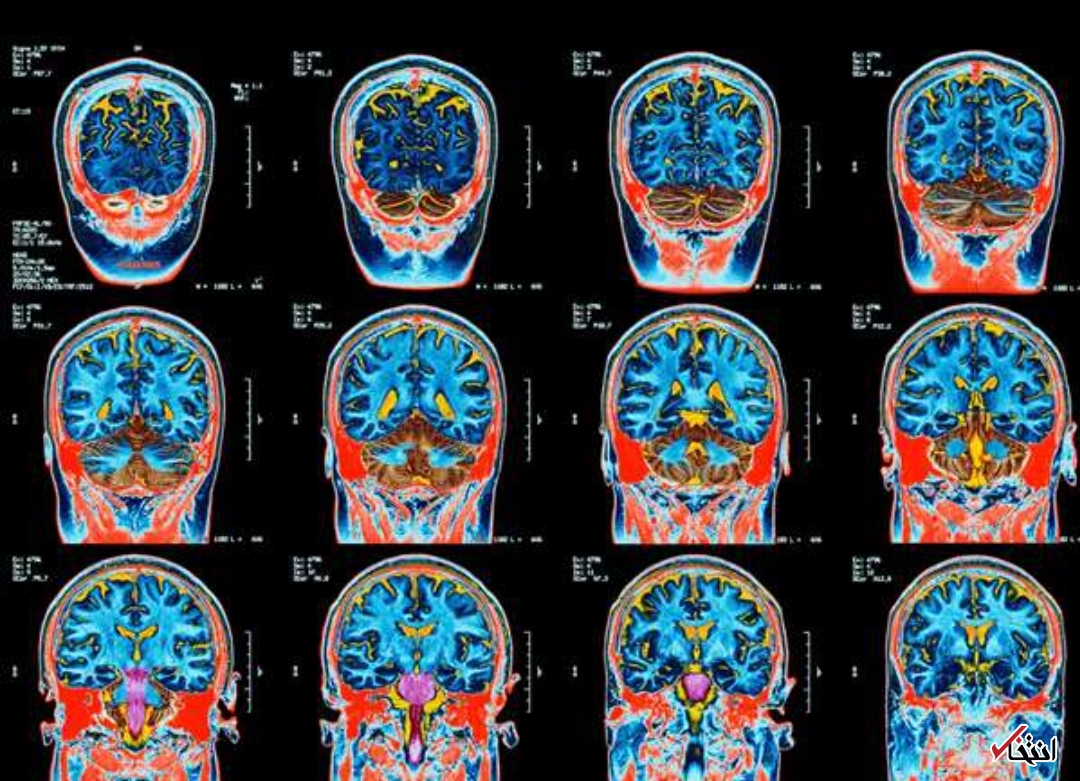
به گزارش سرویس خواندنیهای انتخاب، این بیماری ناشناخته مغزی باعث توهم، از دست دادن حافظه، اسپاسم، تحلیل رفتن عضلات و خرد شدن دندانها میشود.
حداقل ۴۳ نفر در استان نیوبرانزویک کانادا به دلیل این بیماری ناشناخته مغزی که باعث اسپاسم، از دست دادن حافظه و توهم میشود، بیمار شده اند و پزشکان را سردرگم کرده اند. مقامات بهداشت عمومی معتقدند از زمان مشاهده اولین مورد در سال ۲۰۱۵، پنج نفر از افراد در اثر این بیماری جان خود را از دست داده اند.

این بیماری هنگامی مشهور شد که رادیو کانادا و CBC یادداشتی را که از آژانس بهداشت عمومی استان برای پزشکان محلی ارسال شده بود، به دست آوردند. در این یادداشت به پزشکان گفته شده است که مراقب بیمارانی باشند که علائم بیماری نادر مغزی Creutzfeldt-Jakob را دارند (تاری دید، توهم یا گمراهی).
محققان با گروههای ملی مختلف و متخصصان مختلف بهداشت همکاری میکنند تا بفهمند علت بیماری چیست و چگونه ایجاد میشود، از جمله مطالعه محیط محلی. دکتر والری سیم، محقق بیماریهای نورودژنراتیو در دانشگاه آلبرتا، به گاردین گفت که وجود یک بیماری گسترده از علائم شایع برای بیماری مغز غیرمعمول است. به طور معمول چند علامت اصلی وجود دارد و هنوز اطلاعات کافی برای نتیجه گیری وجود ندارد.